Tratamentul Stomatologic al Dinților Temporari
Tratăm zâmbetele mici, cu mare grijă. La Pedodent, dedicăm atenție și grijă încă de la primii dințișori, asigurându-ne că fiecare copil primește un plan de tratament adaptat nevoilor sale.

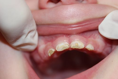
Tratamentul cariei precoce a copilăriei (caria de biberon)
Caria de biberon este o afecțiune des întâlnită și care necesită o intervenție rapidă și apare ca urmarea a obiceiurilor de alimentatie incorecte ale sugarului. O asemenea formă, cunoscută sub denumirea actuală de carie severă precoce, denumirea mai veche fiind caria de biberon, are debut la vârste mici ale copilului și, în absența tratamentului, are evolutie rapidă ducând în timp scurt la distrucții coronare mari, a căror refacere este greu de realizat, în principal datorită nivelului scăzut de cooperare al micuților pacienți.
La Pedodent, folosim tehnici actuale de tratament, care implică aplicarea unor coroane estetice din compozit, adaptate perfect fiecărui dinte afectat.
Restaurare estetică și funcțională
Refacerea morfologică și estetică a dinților afectați, păstrând zâmbetul natural al copilului.
Protecție pe termen lung
Coroanele din compozit oferă o protecție durabilă împotriva cariilor recurente, protejând dinții temporari până la erupția celor permanenți.


Tratamentul leziunilor carioase simple
Frecvența cariei la dinții temporari este suficient de mare și uneori îmbracă forme severe de manifestare și evolutie, rezultând distrucții coronare importante.Dulciurile sunt cu atat mai dăunătoare pentru dinți cu cât sunt mâncate mai frecvent și în funcție de tipul cât ele rămân în contact cu dinții. Leziunile carioase simple pot fi tratate eficient și fără disconfort la Pedodent. Utilizăm materiale de ultimă generație și tehnici minim invazive pentru a restabili sănătatea dentară a copiilor, fără durere și stres.
Procedură minim invazivă
Tratăm cariile simple cu tehnici care păstrează cât mai mult din structura naturală a dintelui.
Confort maxim pentru copil
Intervenția este rapidă și personalizată nevoilor individuale, asigurând confortul și colaborarea copilului pe parcursul tratamentului.
Tratamentul afecțiunilor pulpare (Tratamentul endodontic)
Afecțiunile pulpare ale dinților temporari, datorate cariilor netratate pot duce la apariția durerilor, mortificarea pulpara și chiar pierderea precoce a acestuia. Durerea, sensibilitatea prelungită la rece sau cald, modificarea de culoare a dintelui și prezența tumefacției (umflătură) pe gingia din dreptul dintelui respectiv reprezintă semnale care indică necesitatea terapiei endodontice. Tratamentul endodontic necesită o atenție deosebită pentru a permite vindecarea țesuturilor din jurul rădăcinii. La Pedodent, realizăm tratamente endodontice , cu accent pe menținerea dintelui temporar pe arcadă până la apariția celui permanent.
Conservarea dinților temporari
Tratăm pulpa dentară afectată pentru a menține integritatea și funcționalitatea dinților temporari.
Tehnici de ultimă generație
Utilizăm tehnici și aparatură moderne care minimizează durerea și disconfortul, pentru o experiență pozitivă la dentist.

-min.png)
Tratamentul restaurativ prin coroane metalice preformate și coroane de zirconiu
Pentru restaurarea dinților temporari grav afectați și menținerea lor pe arcada, oferim tratamente restaurative prin coroane metalice preformate și coroane estetice din zirconiu, adaptate morfologiei coronare a fiecărui copil.
Stabilitate și funcționalitate
Coroanele metalice preformate oferă o stabilitate crescută, asigurând protecția structurii dentare restante, chiar și în cazul unei uzuri semnificative.
Restaurare estetică excelentă
Coroanele din zirconiu oferă un aspect natural, fiind total compliante cu satisfactia parentala si a pacientului copil.
Tratamentul țesuturilor moi cu laser
Laserul poate fi utilizat pentru proceduri ale țesuturilor moi, cum ar fi excizia țesuturilor în exces, normale cât și patologice, și pentru reconturarea acestora. Vindecarea leziunilor este mai rapidă decât metoda convențională. La Pedodent, tratăm țesuturile moi ale cavității bucale cu ajutorul tehnologiei laser, oferind o procedură precisă și minim invazivă, care asigură vindecare rapidă și confort maxim.
Precizie și minim invazivitate
Laserul permite intervenții precise, protejând țesuturile sănătoase și reducând riscul complicațiilor.
Vindecare rapidă și fără disconfort
Procedurile laser asigură o vindecare rapidă, cu minim disconfort post-intervențional.


Aplicarea menținătorului de spațiu
Dinții de lapte sunt considerați cei mai buni menținători naturali de spațiu pentru erupția dinților permanenți, îndeplinind toate cerințele pentru un menținător ideal de spațiu. Pierderea prematură prin extracție a dintelui temporar duce la pierderea spațiului în dentițiile mixte și permanente, de aceea aplicarea unui menținător de spațiu este esențială pentru a preveni deplasarea dinților adiacenți. La Pedodent, realizăm această procedură pentru a asigura dezvoltarea corectă a danturii.
Prevenirea malocluziilor
Menținătoarele de spațiu previn migrarea și asigură alinierea corectă a dinților permanenți.
Confort și adaptare rapidă
Menținătoarele sunt personalizate pentru confortul copilului, asigurând o adaptare ușoară și fără disconfort.
Ce spun pacienții Pedodent?
Pruiu Mihaela
Client mulțumit
Larisa Drăgan
Client mulțumit
Adrian Popescu
Client mulțumit
Păruș Andreea Roxana
Client mulțumit
Iorga Cătălina
Client mulțumit
Elena Simion
Client mulțumit
Pruiu Mihaela
Client mulțumit
Larisa Drăgan
Client mulțumit
Adrian Popescu
Client mulțumit
Păruș Andreea Roxana
Client mulțumit
Iorga Cătălina
Client mulțumit
Elena Simion
Client mulțumit
Blog
Fii la curent cu întregul tablou al sănătății orale a copilului tău! De la tehnica de periaj corectă la diferite vârste, până la simptome ale gingivitei, Pedodent Blog este resursa ta de informație în stomatologia pentru copii.

Importanța tratamentului dinților temporari: De ce dinții de lapte nu trebuie ignorați

Experiența unei vizite la dentistul pediatru

Acest articol este în curs de pregătire. Revino curând pentru mai multe informații!
Programează o consultație!

